セラミック治療とは、虫歯などで失った歯質を天然歯と変わらない色・質感のセラミックで修復物を作成する治療法です。 虫歯治療だけでなく、過去に金属で修復した箇所の交換や変色している歯の治療、歯並びや歯の形態の改善などの治療も行います。
TROUBLE

セラミックを使った修復物(詰め物やかぶせ物)は、一人ひとりの、歯の形や色に合わせて、ベテランの歯科技工士が時間と手間をかけて作ることで、天然歯と同じように白く美しい歯が再現できます。そしてセラミックは経年的な変色がないためその美しさが持続します。
審美治療というと見た目の美しさだけが注目されがちですが、実は機能面や歯の保存の観点でも優れています。保険の銀歯やプラスチックとの違いで、セラミックを作る過程では、歯を削るドリルから型を取る材料、使うセメントまで、より高性能な材料、器材を使っています。そして歯を作るそれぞれの工程で、細かく、緻密なまさにオーダーメイド治療とよぶにふさわしい作業を繰り返し、作り上げていくことで、歯と修復物のすき間(マイクロギャップ)が限りなくゼロに近い、つまり適合精度の高いものが出来上がります。その結果、虫歯や歯周病の原因となるプラーク(細菌)が付着しにくく、付着したとしても清掃しやすいため、虫歯や歯周病になりにくく、長期的にみると歯が長持ちするといえるのです。
01
天然歯と同じ「色調」
セラミック治療で使用する素材は天然歯の複雑な色合いを再現できるため、治療した歯との見分けがつかないほど自然になります。口元が明るくなるため、相手に与える印象が変わります。
02
透明感ある「質感」
セラミック素材は天然歯特有の透明感を再現することができます。天然歯との違いが分からないため、見た目が自然です。
03
持続する「美しさ」
セラミック素材は天然歯のような艶があり、歯の輝きが持続します。セラミックは、保険適用のプラスチック(レジン)のような経年劣化(黄色・茶色に変色する等)がなく、美しい状態を維持することができます。
04
長く使える「耐久性」
セラミック素材は強度があるため、長い期間使用できることが特徴です。セラミックは、保険適用のプラスチックよりもはるかに硬く、すり減りにくい素材です。

従来は、虫歯などで歯の一部を失ってしまった場合に、その部分を金属で補うことがほとんどでした。
歯には常に強い力が加わり、熱いもの、冷たいもの、酸性のものにさらされるなど、この過酷な条件に耐えられる材料として金属は適切だったためです。特に日本では、独自の医療保険制度により銀歯での治療なら高い医療費を払うことなく、治療を受けられることも大きな要因でした。
しかし銀歯は、明らかに人工物だとわかるため、自然な口元を再現できません。

そのため最近では、銀歯は見た目の印象が好ましくないという理由から、天然歯と同じような「白い」材料で治療したいという方がとても増えています。
「白い」材料であるセラミックも、以前までは強度が弱く割れやすかったり、内部を金属で補強したため透明感に欠けたりなど、決して満足できるものではありませんでした。しかし、CAD/CAM技術の進歩などでセラミック自体の強度や美しさが向上されました。また、歯とセラミックをつける接着技術の進歩により、セラミックだけで長持ちする自然な歯を再現できるようになりました。
また、セラミックは金属と違って身体に安全な材料です。そのため、身体への安全性を考えてセラミック治療を希望される方もいらっしゃいます。
一般的な銀歯は数種類の金属を混ぜた合金でできているため、長く使用するとその中に含まれる金属(スズ、ニッケル、パラジウム、銅など)がイオン化して溶け出します。その結果、アレルギー症状(金属アレルギー)を引き起こしたり、周囲の歯茎を黒く変色させたりしてしまいます。
セラミックは長期間使用しても変色や、有害物質が溶け出したりすることがないため、安心して使用することができます。

奥歯に使用するセラミックの詰め物です。生体親和性が高く金属アレルギーの心配がありません。従来のセラミックより強度があります。透明感がありと自然な色合いを再現できます。

金属を一切使用していない、全てセラミック素材でできたかぶせ物です。審美性に優れており自然な歯を再現でき、歯の根元や歯ぐきが黒くなることがありません。生体親和性が高く金属アレルギーの心配もありません。

ジルコニアという最も強度の高いセラミックの上から透明感のあるセラミックを焼き付けたかぶせ物です。審美性に最も優れており、天然歯と同じような自然な色合い、質感を再現できます。前歯の治療に適しています。

金属の上にセラミックを焼き付けた白いかぶせ物です。セラミック治療としては最も歴史がありエビデンス(科学的根拠)が豊富です。セラミックの美しさと金属の強度を併せ持ち、奥歯の治療やブリッジに向いています。

歯の表面を薄く削り、セラミックのシェルを張り付ける方法です。削る量が少ないため歯にやさしく、少しであれば、歯の形や、ねじれも修正できます。前歯の治療に適しています。
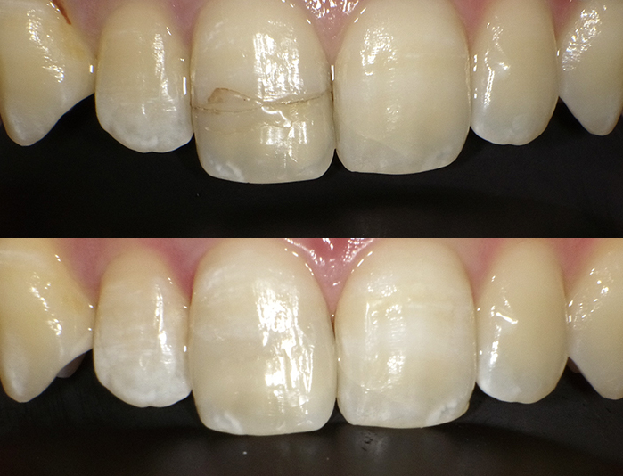
ダイレクトボンディング治療は、さまざまな種類のプラスチックを直接お口の中で盛り付けることで天然歯のような自然な色や形を再現する治療法です。
TROUBLE

ダイレクトボンディングとは、CR(コンポジットレジン)というセラミックの粒子を含んだ白い樹脂材料を、お口の中で直接盛り付けて歯を修復する治療法です。歯の色に合わせて数種類のCRを重ね合わせ、歯の溝や湾曲など、細かい形態を時間をかけて成型していくことで、天然歯のような自然な色、形、質感を再現することができます。本来、型をとって歯科技工士が時間をかけて歯を作っていく工程を、直接歯科医師が行うことで、基本的には1日で治療が完了します。そして虫歯だけを削って詰めることができるため、型をとるより、歯を削る量が少なく歯にやさしい治療法といえます。
MERIT
1歯を削る量が少ない
ダイレクトボンディング治療は必要最小限の範囲のみを削って治療することができます。(MI治療:ミニマルインターベンション)
被せ物や詰め物と比べて、歯への負担が少ない治療法です。
2自然な歯を再現できる
色調や透明感が異なったさまざまな種類のプラスチック(レジン)を使用することで、天然歯に近い歯を再現することができます。
3治療期間が短い
直接、お口の中にプラスチック(レジン)を詰めるため、歯型を採ってラボで製作するセラミック治療より短期間で治療できます。
4良心的な治療費
セラミック治療や矯正治療などの他の審美治療よりコストを抑えて治療することができます。
5変色しにくい
保険適用のプラスチック(レジン)より変色しにくい素材を使用します。
定期的なメインテナンスできれいな状態を維持できます。
6部分的な補修ができる
治療部位がかけた場合や変色した場合は、その部分だけを補修することができます。

インプラント治療とは歯を失ってしまった部位にインプラント(人工歯根)を埋め込み、その上に人工の歯を取り付ける治療法です。埋め込まれたインプラントは骨にしっかりと固定され、上に作る歯も審美性が高いため、自分の歯と同じように噛むことができます。また、従来の治療法との大きな違いは、歯を削ったり、バネをかけたりする必要がないため、残っている歯にも負担が少ない治療法であるといえます。

ブリッジは失ってしまった部位の両隣の歯を削って、かぶせて橋をかける治療法です。歯にセメントで固定するため、取り外しをする必要はなく、食事も違和感なく食べることができます。
ブリッジのデメリットは健康な歯でも大きく削らなくてはいけないこと、失った1本の歯をブリッジで補う場合、両隣の歯と合わせて3本分の歯の力を2本で支えなければならなくなり、支える歯の負担が大きくなることで、歯の寿命が短くなる場合があるということが挙げられます。
インプラントは、健康な歯を削る必要がないこと、残っている歯に負担をかけないということが、ブリッジと比較した場合のメリットとなります。

失った周囲の歯にバネをかけて固定する、取り外しの義歯です。取り外すことができるため周囲の歯の清掃は容易になりますが、取り外しのわずらわしさがあること、失った歯の本数が多いほど異物感が大きくなるデメリットがあります。また一般的には入れ歯の噛む機能は天然歯の30%~40%といわれています。金属のバネが見えることがあるため審美的にも劣っています。
インプラントは色調も形態も自分の歯と変わらないため、異物感はなく、天然歯と同じように噛めることが、入れ歯と比較した場合のメリットです。

完璧な治療法のようですがインプラントにもデメリットはあります。

歯を失った場合の治療法としては、主にインプラント、ブリッジ、入れ歯の3つの選択肢があることを述べてきましたが、残念ながら万能な治療法というものはなく、それぞれにメリット、デメリットがあります。歯科医学的にはインプラントが最良でも、その選択には患者さまの生活スタイル、価値観,全身状態など様々な因子が影響します。ブリッジや入れ歯にしても、セラミックブリッジやノンクラスプデンチャーなど、材質や精度を向上させることでデメリットをカバーできる場合もあります。それぞれの治療法を、メリット、デメリットを含めよく理解し、納得していただいた上でご自分にあった治療法を選択していただくことが大切です。
大垣市のホワイトニング・審美治療専門サイト
みずたに歯科クリニック
| 受付時間 | 月 | 火 | 水 | 木 | 金 | 土 | 日 |
|---|---|---|---|---|---|---|---|
| 09:00-12:00 | 〇 | 〇 | 〇 | / | 〇 | 〇 | / |
| 14:00-18:30 | 〇 | 〇 | 〇 | / | 〇 | △ | / |
△土曜日の午後診療は14:00~17:30
※木曜日・日曜日・祝日は休診